Natural Health

“Let food be thy medicine and medicine be thy food.”
正文

打通血管血栓绝密配方

(2016-01-13 17:20:16) 下一个

 

 

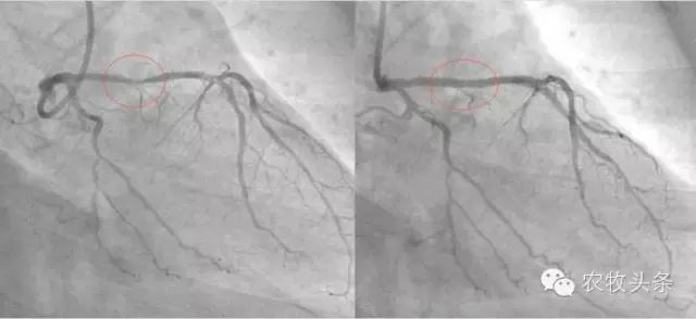
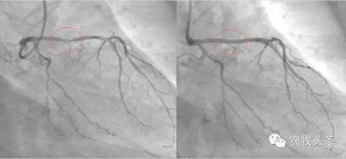
一位居住在伦敦的人的亲身经历,他去巴基斯坦开会的时候,突然胸口剧痛,后来被医院验出来,他的三条心血管已经被严重堵塞,需要做搭桥手术。手术的时间是一个月以后,在这个期间,他去看一位治疗师。

 

这位Hakim让他自己在家中做一个食疗,他吃了一个月。一个月后他去同一家医院做检查,发现三条血管干干净净,原来堵塞的地方已经全通了。为了让更多的人受益,他把自己的经验放在网上分享,他的前后两张血管照片也放了在网上,在照片中,服用食疗之前与之后的分别连普通人也看得出来。


【材料】

一个半柠檬

二大块姜

三头蒜

一小瓶苹果醋

一小杯蜜糖

【做法】

1、蒜头去皮,姜去皮切小片,一起放入榨汁机榨汁,或者放入搅拌器打成浆,用网布隔渣,手绞出汁。

2、将蒜头、姜汁放入瓦煲,加入柠檬汁与苹果醋,大火滚,小火慢煮,不要盖锅盖,让水份蒸发,大约需要半小时,剩下大约一半汁液。

3、温度降下后,加入蜜糖,仔细搅匀,蜜糖需要很多,主要是令汁液容易入口。

将成品存在有盖的玻璃瓶中,放入冰箱。每天早饭前空肚服用一汤匙。


吃上一个月以后去医院做次检查,会发现血管干干净净,堵塞的地方已经全通了。

有网友饮用后表示:〝我们饮用此方两星期后,血脂,血压及胆固醇均有明显改善,且身体感觉轻松有精神许多,也瘦些,介绍此方之友,原本要装四、五根心脏支架的,赶紧服用此方的三星期后恰逢手术前复诊,居然血栓全然不见,故而不用手术了。〞

还有网友说:〝除了对血脂,胆固醇,三甘脂肪酸,血压及脂肪肝有极大之帮助外,此方更对胰脏,血糖,肠癌,胃病,糖尿病,摄护腺肿大,风溼,消炎,感冒,减肥,过敏,消除疲劳和疏通经络的改进也很有效果,果不虚得神方之名!〞

打通血管绝密配方,给亲爱的人试试!让你的朋友也尽快得到这个很重要的资讯吧。

(文章翻译自国外互联网 )

[ 打印 ]
阅读 ( )评论 (4)
评论
觅音 回复 悄悄话 谢谢!可以试试。
jyx-003 回复 悄悄话 好方子!谢谢,收藏了!
mzl9876 回复 悄悄话 这个方子还真灵,我喝了一年半多了,效果很好。
mzl9876 回复 悄悄话 好方子,收藏了。
登录后才可评论.