回家路的博客

这一生,我们都在走在回家的路上!
个人资料
正文

图文并茂 | 多发性硬化

(2015-03-19 06:55:54) 下一个

医脉通编译,转载请务必注明出处。

 

多 发性硬化或MS,是中枢神经系统炎性脱髓鞘疾病。疤痕组织不断沉积所形成的硬化斑块导致渐进性的肢体功能障碍。尽管MS的病因不明,一些研究者相信自身免 疫过程可能是其病因,遗传、感染和免疫因素可能与其相关。可加剧或缓解的药物及治疗方式尚未确定。磁共振成像(MRI)T2相显示许多高信号区域,其预示 存在广泛性病变。

 

 

由 于本病难以诊断并且医生不需要将这种病例报告给政府相关机构,所以MS流行病学数据有所不同。在美国,估计患MS 40万人,每年发病10,000人。这其中以生活在北半球的白种人更常见,但15岁前移居到北方的个体患病率增加。男性较女性患MS的概率增加2-3 倍,20-40岁的成年人最常受其影响(小于16岁儿童大约2-5%受其影响)。大多数人MS患者整体预期寿命正常,因为这种疾病很少致命。但是,它可能 会导致严重的残疾并且病人可能因MS相关的并发症死亡(例如长期卧床所致反复感染)。资料来源:美国国家多发性硬化症协会,国家神经疾病与中风研究所。

 

 

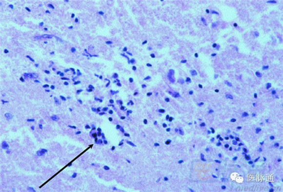
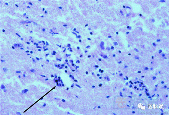
MS 是指沉积在脑实质、脑干、视神经和脊髓内的斑块。这些病变是由于淋巴细胞和巨噬细胞浸润静脉周边,并且通常位于白质周围。血管周围的T细胞可以分泌一些物 质,其可破坏少突胶质细胞,而少突胶质细胞可产生利于神经传导的髓鞘,另外轴突可产生不同程度的破坏。苏木精和伊红(H&E)染色显示血管周围T细胞、B 细胞和巨噬细胞等炎性细胞浸润。

 

 

虽 然脱髓鞘的确切机制不明确,一种可能的机制是由抗原呈递细胞活化外周髓磷脂-特异性T细胞。T细胞通过粘附分子的表达穿过血脑屏障,并能分泌促炎因子(γ 干扰素和肿瘤坏死因子),其可导致静脉周围组织的损伤。据推测额外抗原的暴露可能导致抗原表位的扩散和其它炎细胞的募集。活化小胶质细胞所释放的自由基、 一氧化氮和蛋白酶也可导致组织损伤。

 

 

在 诊断该疾病时,该疾病可表现为几种不同的表型:进展复发型(PRMS)(约5%),原发进展型(PPMS)(约10%),复发缓解型(RRMS)(约 85%)以及继发进展型(SPMS)(约80%的SPMS由RRMS进展而来)。在疾病的早期阶段,患者可能出现髓鞘再生并可修复因MS斑块所致的损伤。 但是,随着病情的进展,机体不能成功的代偿脱髓鞘,脱髓鞘就成为永久性的了。资料来源:国家多发性硬化症协会,多发性硬化症国际基金会。

 

 

MS 的表现取决于病灶的确切位置、持续时间以及疾病的严重程度;因此,在疾病的不同进程中其检查结果可能发生变化。MS的必要条件是症状发作的“时间和空间分 离” (即发作间隔数月或数年,影响不同的解剖位置)。必须进行一个全面的全身神经系统评估以确定疾病严重程度。症状和体征可能持续数天或更慢;并且可能从轻微 到严重;可能很短暂也可能持续数月。常见功能障碍包括眼部症状、局部无力、僵硬、局部感觉障碍、膀胱控制问题,反射亢进和步态障碍。次要问题包括感染、褥 疮、肌肉骨骼疾病。10分的Kurtzke残疾状态量表可对疾病的征象和症状的严重程度进行准确评价。

 

 

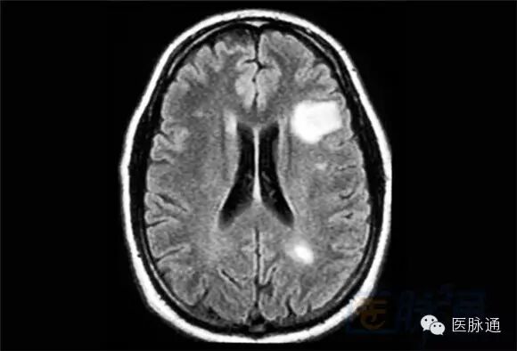
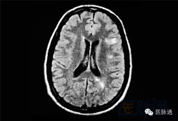
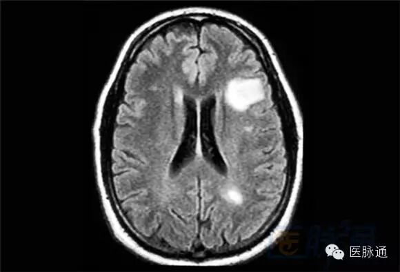
MS 的诊断是根据临床症状及辅助检查结果。一些临床医生使用2010年修订McDonald标准,该标准是结合临床症状、影像学检查和特异性检查来诊断MS 的。虽然血液和脑脊液对排除患者神经系统症状的其它病因是有价值的,但大脑、脊髓MRI仍然是帮助确定症状相关诊断和监测病情进展的首选检查。对比T1相 和FLAIR相(液体衰减反转恢复),MS斑块在T2相显示高信号(如图所示)。T1加权成像检测MS病变不太敏感,但它可以对慢性MS全脑萎缩情况进行 极好的全面评估。因为存在水肿和炎症,脱髓鞘病变有时与脑肿瘤相似。

 

 

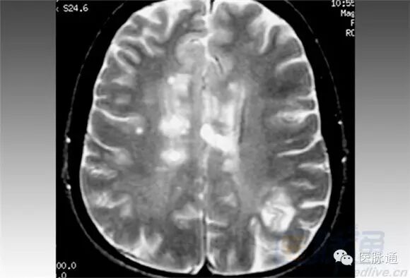
MRI对于评估复发型MS疾病进展是特别有效的。MRI所示为RRMS患者,前面的一张为同一患者3个月以后所做。病变的大小显著减小。

 

 

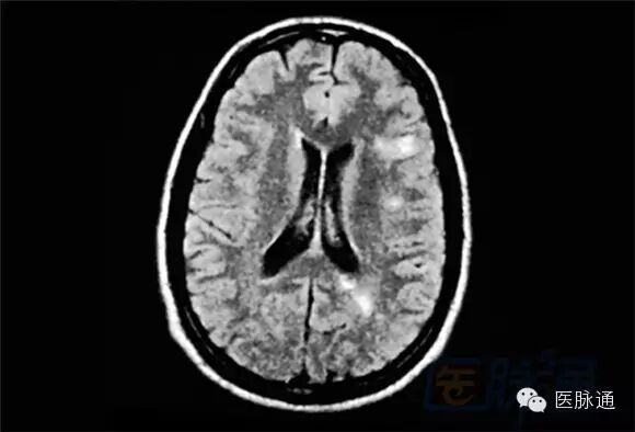
MRI对于评估脑干或脊髓病变也非常好。此处图像所示MS斑块在颈髓(箭头)。计算机断层扫描(CT)和超声对于MS的诊断作用非常有限。

 

 

用 于治疗MS的药物分为疾病修饰药物(DMD)或对症处理药物。目前所批准的药物没有可以治愈MS的,但是应当在疾病过程中尽可能早的应用DMD,因为这些 药物可以通过减慢疾病进程从而减少复发的次数和严重程度,并减少疾病过程中新病灶的累积。对于急性加重期,可考虑应用甲松龙缩短病程。对于复发型MS患 者,FDA批准的药物有β-干扰素(1a或1b)、那他珠单抗、醋酸格拉替雷、芬戈莫德、特立氟胺、富马酸二甲酯和米托蒽醌。FDA也批准米托蒽醌用于治 疗SPMS和PRMS。没有批准用于治疗PPMS的药物。这张幻灯片列出了一些仿制药与药物品牌方案。

 

 

疾 病的治疗主要是对症处理。由于DMD病情整体恶化并且疗效不佳,所以病人的健康主要依赖于症状的缓解。临床医生必须对每一位患者的主要症状提供个性化治 疗。需要注意的是所列出的药物都不是FDA批准用于治疗MS的;相反,这是治疗MS相关临床症状的总结。MS的研究正在进行,特别是聚焦于防止病情加重的 新治疗。研究者也试图更好地理解MS的病因和发病机制。

 

 

MS 的主要治疗包括理疗、职业治疗和言语治疗。除了提供减少痉挛、维持关节活动度、强化肌肉和提高协调性的训练外,治疗师还提供了输入性的辅助设备和装置,以 改善患者的生活质量。水中有氧运动为MS患者的一种有效治疗手段。MS患者的手术一般限于缓解症状、疼痛控制和放置鼻饲管。

 

 

医脉通编译自:Multiple Sclerosis: Slideshow.Medscape. May 7, 2014

[ 打印 ]
评论
目前还没有任何评论
登录后才可评论.